Advanced Dental Care: CBCT • CAD/CAM • Lasers • Painless RCT
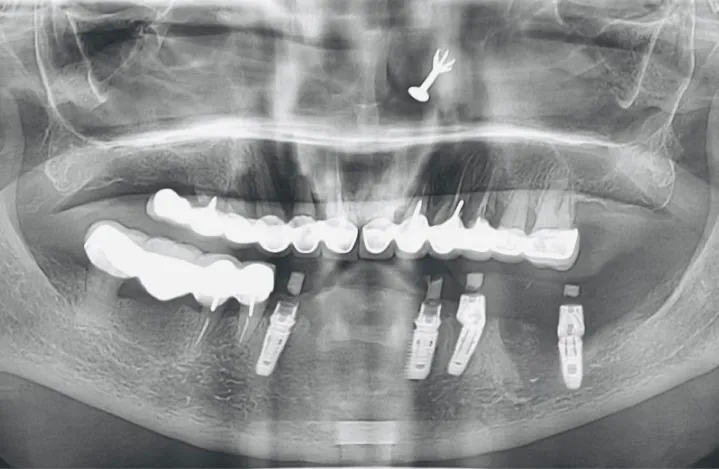
Accuracy, detail, and safety are at the forefront of our in-house CBCT and 3D dental imaging services. Single, full-arch or targeted scans provide precise, three-dimensional views of teeth, jawbone, and surrounding structures for effective diagnosis and treatment planning.
At iCube Dental, we use state-of-the-art CBCT and 3D imaging technology to ensure detailed, comfortable, and efficient scans. Our imaging services help dentists plan treatments with unmatched precision – enhancing outcomes for implants, orthodontics and complex restorations while keeping patient care safe and confident.
Discover the perfect combination of technology and care with iCube Dental’s CBCT and 3D imaging – where every treatment starts with clarity, accuracy and confidence.










COMMITTED TO PRECISION
In-house CBCT and 3D imaging capture accurate, detailed views of your teeth, jaw, and gums, enabling precise diagnosis and treatment planning.
Advanced 3D scans reveal hidden dental issues, helping dentists plan treatments with accuracy and ensuring your smile and oral health are fully optimised.
Our CBCT and 3D scans are minimally invasive, quick, and highly accurate—providing long-term insights for better dental care and confident treatment outcomes.








At iCube Dental, we blend advanced dental technology with gentle care to create confident smiles. Our expert team is committed to providing personalized, high-quality treatments that put your comfort and oral health first.
– Make an Appointment – Select Timeing Slot – Confirm Consultation
Advanced in-house CBCT scans and 3D dental imaging at iCube Dental provide highly accurate, detailed views of teeth, jaws, and surrounding structures, supporting precise diagnosis and treatment planning.
Our state-of-the-art 3D imaging captures complete dental anatomy with minimal radiation exposure, allowing dentists to plan implants, orthodontics, and complex restorations with unmatched precision. In-house CBCT and 3D scans at iCube Dental enhance patient safety, optimize treatment outcomes, and provide a comprehensive view of oral health for confident, effective care.
BDS,MDS (PROSTHODONTICS)
BDS ,MDS (ENDODONTICS)
MDS (Prosthodontist Implantologist & Cosmetic Dentist)
MDS (Periodontist & Implantologist )












